ОСОБЕННОСТИ МОРФОЛОГИИ ПЛАЦЕНТЫ ТАБУННЫХ КОБЫЛ ПРИ ПРЕЖДЕВРЕМЕННЫХ РОДАХ, СВЯЗАННЫХ С ПЛАЦЕНТАРНОЙ НЕДОСТАТОЧНОСТЬЮ
ОСОБЕННОСТИ МОРФОЛОГИИ ПЛАЦЕНТЫ ТАБУННЫХ КОБЫЛ ПРИ ПРЕЖДЕВРЕМЕННЫХ РОДАХ, СВЯЗАННЫХ С ПЛАЦЕНТАРНОЙ НЕДОСТАТОЧНОСТЬЮ
Аннотация
В данной работе оценивалась площадь хориоаллантоиса, толщина хориоаллантоиса и аллантоамниона, плотность ворсин (на единицу площади и поверхности хориона), а также характеристика сосудов в фетальной части плаценты. Анализ выявил, что плацентарная недостаточность, проявляющаяся в виде преждевременных родов, ассоциируется с дезорганизацией клеточных структур. В аллантоамнионе наблюдались облитерированные сосуды, спиралевидной структуры.
Средняя толщина аллантоамниона оценивалась в 6,2 мм (±0,58 мм), а его габариты варьировались в диапазоне 5…10 мм. Сосуды были распределены по всей поверхности аллантоамниона неравномерно, с диаметром от 4 до 6 мм. Плотность сосудистой сети составляла от 5 до 10 сосудов на 1002 сантиметров. Ворсины на поверхности хориона мелкие, слабо разветвленные и тусклые. Их плотность снижена, в среднем составляя 30 штук на квадратный сантиметр. Стромальная часть плаценты, представлена преимущественно коллагеновыми волокнами. Толщина хориоаллантоиса варьировалась от 5 до 10 мм, а плотность ворсин составляла от 38 до 46 на квадратный сантиметр. Участки плаценты, при преждевременных родах, занимают значительную площадь — более 10 800 см². У лошадей этого типа пуповина обычно достигает в длину 60 сантиметров, а её толщина — приблизительно 3,6 сантиметра. Вена отличается большим размером просвета (12 мм) по сравнению с двумя артериями (11 мм и 8 мм).
Внутренний объём сосудов пупочного канатика уменьшен, и стенка вены представляется более плотной, чем стенки артерий. Ворсины хориоаллантоиса укорочены, а трофобластический слой истончен. Соединительная ткань характеризуется увеличенным объемом внеклеточного матрикса и деградацией коллагеновых волокон. Активированные фибробласты превращаются в миофибробласты, которые стимулируют образование соединительной ткани, ремоделирование и постепенное разрушение структуры фетальной части плаценты. Таким образом, гистоморфометрические показатели, особенно топология клеточных сетей, могут служить ценными биомаркерами для диагностики и оценки степени плацентарной недостаточности у кобыл.
1. Введение
В эмбриологии и перинатологии лошадей установилось устойчивое положение, что на ранних сроках беременности, примерно с 12-го по 15-й день, эмбрион лошади имеет округлую форму и свободно перемещается по просвету обоих рогов матки в ответ на сокращения матки. Считается , что такое движение и контакт между эмбрионом и эндометрием играют важную роль в распознавании беременности матерью у лошадей. Примерно на 16-й день беременности из-за увеличения эмбриона и повышения тонуса матки эмбрион закрепляется в одном месте внутри матки . У эмбриона лошади развивается полный набор внезародышевых оболочек . В это время большая часть поверхности эмбриона состоит из хориовителлинового слоя. До 35-го дня эмбриональные оболочки не прикрепляются к эндометрию. К 40-му дню начинает формироваться плацентарный круг кровообращения, что указывает на начало плацентации . На данном этапе эмбрионального развития специфической чертой выступает преобразование эндометрия, сопровождающееся формированием небольших перегородок, покрытых однослойным кубическим эпителием и разветвляющихся, создавая углубления. В направлении образованных углублений в эндометрии перемещаются ворсины хориона, которые, в свою очередь, делятся, проникая в эти углубления. Некоторые ученые отмечают наличие на передней стенке маточной слизистой оболочки выпячивания, напоминающего по очертаниям «эндометральную чашу» овальной формы. Внутри этой структуры расположены маточные железы, окруженные хорионическими клетками, фибробласты и похожих на них клеток, а также макрофаги и макрофагоподобные клетки.
Хорионические клетки, гландулоциты и плазмоциты обладают высоким содержанием РНК, нейтральных и сульфатированных гикопротеинов, и их секрет содержат все компоненты, составляющие гонадотропин, которые покрыты простым кубическим эпителием. Среди этих клеток обнаруживаются, до 18…20% гибридных клеток с тремя ядрами. Таким образом формируется плацента эпителиохориального типа обеспечивая прямой контакт эпителия эндометрия с поверхностью хориона через шесть слоев ткани, разделяющих кровообращение матери и плода на протяжении всей беременности , . Плацента обеспечивает питание плода за счет метаболического обмена питательными веществами, снабжения кислородом и выведения продуктов жизнедеятельности, а также защищает его от внутренних и внешних воздействий . С четвертого месяца беременности «эндометральные чащи» вакуолизируются и формируется микрокотелидонная диффузная эпителиохориальная плацента. Она охватывает всю поверхность хориоаллантоиса, за исключением небольшого участка, прилегающего к шейке матки, который называется «шейковая звезда» и где прикрепление невозможно . Микрокотиледоны, основная единица взаимодействия плода и матери в плаценте лошади, которые представляют собой скопление хорошо васкуляризированных ворсинок хориона, которые проникают в сложные инвагинации эндометрия. Будучи микрокотиледонной и диффузной плацентой, она также характеризуется равномерным распределением ворсинок по поверхности хориона, который находится в контакте с эндометрием. Эпителиохориальная природа этого интерфейса сохраняется на протяжении всей беременности, но что происходит на последних сроках гестации и во время родов интерпретации в доступной литературе представлены единичными работами или вовсе отсутствуют.
В клинической практике у лошадей тщательный осмотр плаценты проводится с помощью макроскопического исследования и является стандартной процедурой . По данным , у кобыл изменения в плаценте могут быть следствием заболевания важенок в период беременности или морфофункциональными нарушениями плодных оболочек или плода. Несмотря на диагностические исследования крови, опыт врача, осматривающего кобылу, имеет большое значение , поскольку проведенная визуализация плодной части плаценты имеет большое клиническое значение. Хорошо известно, что внутриутробное питание плода влияет как на здоровье , , так и на результаты индивидуального неонатального развития жеребёнка. Ряд исследований показывает, что нарушения в структуре и функциях плаценты могут приводить к нарушению развития и роста плода, а также к снижению массы тела новорожденных. Поэтому была выдвинута гипотеза, что у кобыл в отличии других животных в плаценте усиливается фиброз и снижается микроциркуляция, что приводит к снижению массы тела новорожденных жеребят с очень серьезными последствиями для их дальнейшего существования.
Для оценки адекватности функционирования плаценты используют морфологические показатели, . К ним относятся: во-первых, способность эпителиальных и мезенхимальных клеток оказывать иммуномодулирующее воздействие как на этапе имплантации, так и в течение последующей беременности; во-вторых, особенности метаболических процессов в системе «мать-плацента-плод», а также скорость деления клеток диффузной эпителиохориальной плаценты (митотический индекс) на разных стадиях внутриутробного развития. У тяжеловозных лошадей осложнения в периоды беременности и родов связаны со спайкой между аллантохорионом и эндометрием, причем эта спайка зависит от фиброза, чрезмерного развития соединительной ткани и менее разветвленными аллантохориальными ворсинками , , . Восполнение недостающих сведений в этой научной сфере даст возможность определить ключевые механизмы, прямо или косвенно влияющие на развитие плацентарной дисфункции и механизмы возникновения репродуктивных нарушений у женских особей, а также снижение порога устойчивости генетического потенциала популяции.
Целью работы является проведение сравнительного морфологического анализа плаценты кобыл на последних сроках беременности методом гистоморфометрии при преждевременных родах, связанных с плацентарной недостаточностью.
2. Методы и принципы исследования
Экспериментальные процедуры настоящего исследования были проведены с учетом стандартов Санкт-Петербургского университета ветеринарной медицины при проведении экспериментов на животных и получил одобрение Комитета по этике исследований и экспериментов на животных (Протокол № 19/2025-СПбГУВМ). В 2025 году исследовали образцы плаценты, полученных от табунных конематок на территории Якутии на последних сроках гестации (1 жеребая кобыла, возраст 6 — лет, беременность без осложнений, роды в срок, живая масса новорожденного жеребенка 34,6 кг и две кобылы, возраста 6 и 7 лет), преждевременные роды — плацентарная недостаточность, диагноз был поставлен нами постфактум на основании полученных данных ультразвукового исследования фетальной части плаценты перед родами (УЗ-сканер Mindray М6).
Патологические признаки включали аномалии развития плода, скопления жидкости между хориоаллантоисной мембраной и эндометрием, а также повышенную эхогенность амниотической и аллантоидной жидкостей. Вес околоплодных провизорных оболочек измерялся с точностью до десятой доли грамма. Площадь фетальной области плаценты рассчитывалась планиметрическим способом, основанном на подсчете количества квадратных миллиметров, занимаемых фетальной частью, нанесенных на миллиметровую бумагу. Длина пупочного канатика определялась измерительной лентой от точки его соединения с фетальной стороной плаценты до места обрыва. Для оценки количества ворсин на квадратный сантиметр хориальной пластинки применялась увеличительная лупа и специальная палетка с квадратным вырезом в 1 см2. Процесс гистологического анализа плаценты начинался с фиксации образцов в 10% нейтральном формалине при 4°С в течение 4–5 дней.
Для гистологического анализа ткани подвергались стандартизированной подготовке. Сначала проводилась их дегидратация и последующее просветление в хлороформе с использованием автоматизированного гистопроцессора Cytadel 2000. После этого образцы заливались в парафин с помощью системы Histomix (Биовитрум, РФ). Полученные парафиновые блоки были нарезаны на тонкие срезы толщиной 5 микрометров на микротоме MICROM HM340E и закреплены на предметных стеклах. Для общей оценки клеточной и тканевой структуры срезы окрашивали гематоксилином и эозин-флоксином по стандартной процедуре. Для выявления и характеристики компонентов внеклеточного матрикса применялась окраска по Masson. Исследование содержания кислых и нейтральных гликозаминогликанов проводилось с помощью двух методов окрашивания: альциановый синий (при рН=3,0) по Стидмену позволял идентифицировать сульфатированные мукоидные вещества, гиалуроновые кислоты и сиаломуцины, что проявлялось темно-синим цветом. ШИК-реакция по Мак-Манусу, в свою очередь, обнаруживала гексозосодержащие мукопротеины, окрашивая их в ярко-малиновый цвет. Для лучшей визуализации ядер дополнительно применялся гематоксилин Майера.
Первоначальная обработка образцов плаценты включала фиксацию фрагментов (толщиной ≥ 5 мм, площадью ≤ 3 см²) в 10% нейтральном забуференном формалине HistoSafe в течение 24 часов. Далее проводилась дегидратация материала путем последовательной обработки растворами Изопреп с возрастающей концентрацией, с экспозицией 30 минут в каждом растворе. Следующим этапом была инфильтрация и заливка в парафин с использованием двух серий парафиновых сред Гистомикс, каждая продолжительностью 50 минут. Гистологические срезы толщиной 5 мкм изготавливались на ротационном микротоме «Ротмик-2».
Для общего гистологического анализа применялось окрашивание гематоксилином и эозином. Идентификация кислых гликозаминогликанов проводилась с помощью альцианового синего, а нейтральных гликозаминогликанов — с помощью ШИК-реакции. Все процедуры выполнялись в соответствии с общепринятыми протоколами. Визуализация и анализ изображений проводились на микроскопе AxioScope.A1 с цифровой камерой AxioCam MRc5. Статистический анализ включал описательную статистику: среднее арифметическое и стандартное отклонение для количественных переменных с нормальным распределением, и межквартильный размах для категориальных переменных. Нормальность распределения непрерывных переменных оценивалась с помощью критерия Колмогорова-Смирнова. Для анализа категориальных данных при ожидаемом количестве наблюдений в ячейках менее 5 применялся точный тест Фишера. Статистическая значимость определялась при уровне p<0,05. Анализ данных проводился в программных пакетах IBM SPSS Statistics 26 и Microsoft Excel.
3. Основные результаты
Исследование фетальной поверхности плаценты у кобыл включало визуальный анализ ее морфологических признаков. Оценивались такие параметры, как сохранность структуры, цвет, наличие участков с редуцированными ворсинами, отложений солей кальция, а также зон некротических изменений и инфарктов.
У кобыл, чья беременность и роды протекали без патологий, были зафиксированы следующие характеристики пупочного канатика: его длина составляла (57,68 ± 0,75) см, а толщина — (3,76 ± 0,07) см. Сосуды пупочного канатика, представленные артериями и веной, имели сопоставимый диаметр (11–12 мм) и узкий просвет. Толщина стенок артерий и вены варьировалась в пределах (5–6 мм), табл. 1.
Таблица 1 - Сравнительная характеристика пупочного канатика кобыл при преждевременных родах, связанных с плацентарной недостаточностью
Длина пупочного канатика, см | Толщина пупочного канатика, см | Диаметр артерий/вены, мм | толщина стенки пупочных артерий / вены, мм |
Физиологическая беременность и роды в срок | |||
57,68 ± 0,75 | 3,76 ± 0,07 | 11/12 | 5/6 |
Преждевременные роды, плацентарная недостаточность | |||
59,43 | 3,43 ± 0,03 | 10/5 | 8/6 |
Аллантоамнион представлял собой желеобразное вещество бело-серого оттенка. В его структуре обнаруживались крупные, толстостенные кровеносные сосуды, табл. 2.
В аллантоамнионе наблюдались в основном суженные (облитерированные) сосуды, отличающиеся характерной спиралевидной структурой. Средняя толщина аллантоамниона оценивалась в 6,2 мм (± 0,58 мм), а его габариты варьировались в диапазоне 5–10 мм. Сосуды были распределены по всей поверхности аллантоамниона неравномерно, с диаметром от 4 до 6 мм. Плотность сосудистой сети составляла от 5 до 10 сосудов на 100 квадратных сантиметров (см. табл. 2).
Таблица 2 - Сравнительная характеристика пупочного канатика кобыл при преждевременных родах, связанных с плацентарной недостаточностью
Масса плодных оболочек, кг | Площадь хориоаллантоиса, см2 | Толщина хориона, мм/ аллантоамниона, мм | Количество ворсин на 1 см2 хориона | Диаметр сосудов и кол-во сосудов на алланто-амниона площадью 100 см2 |
Физиологическая беременность и роды в срок | ||||
8,02 ± 0,24 | 14287,48 ± 311,72 | 8,00 ± 0,91/ 6,20 ± 0,58 | 41,80 ± 1,56 | 4/6; 5/10 |
Преждевременные роды, плацентарная недостаточность | ||||
5,9±0,24 | 7854,92 ±407,67 | 2,95±0,37/ 4,06 ±0,45 | 28,41±1,17 | 4/6; 3/7 |
Оболочка хориоаллантоиса выделялась своим серо-розовым цветом. Поверхность, обращенная к развивающемуся организму, имела гладкую и блестящую структуру. Со стороны материнского организма хориоаллантоис обладал насыщенным темно-красным цветом, отличаясь при этом блеском и бархатистой текстурой.
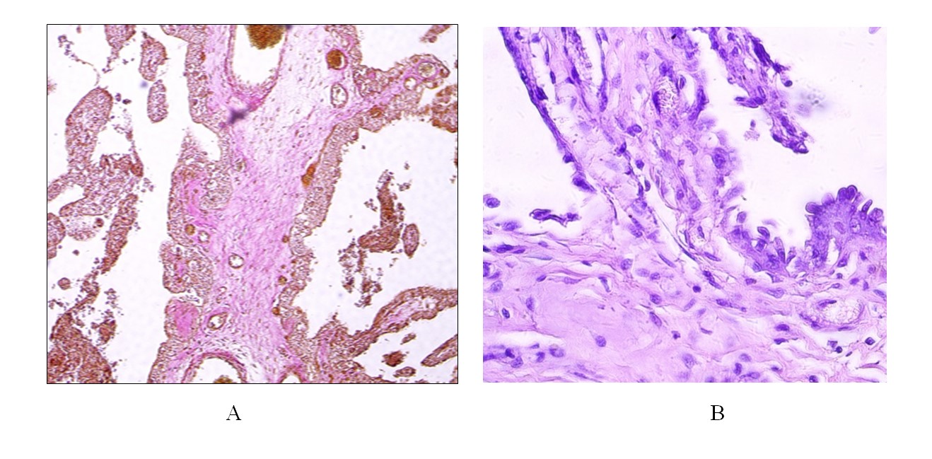
Вся поверхность хориальной оболочки была однородно покрыта небольшими, слабо разветвленными ворсинками. Толщина хориона колебалась в пределах от пяти до десяти миллиметров. Плотность расположения ворсин составляла от тридцати восьми до сорока шести штук на один квадратный сантиметр (рис. 1).
Исследования показывают, что средняя масса плодной части плаценты составляет приблизительно 8,02 килограмма. Этот показатель имеет погрешность в 0,24 килограмма, что позволяет определить минимальное значение в 7,35 кг и максимальное в 8,85 кг.

Рисунок 1 - Морфологические и гистохимические изменения в плодной части плаценты у кобыл с плацентарной недостаточностью (преждевременные роды)
Для плацент, подверженных плацентарной недостаточности, типичны следующие морфологические характеристики: густо усеяна мелкими ворсинками, равномерно распределенными и незначительно разветвленными, с плотностью от 36 до 42 ворсинок на квадратный сантиметр хориона (в среднем 38,40 ± 1,17). Тем не менее, наблюдались области с уменьшенной высотой и концентрацией ворсинок. Толщина хориона уменьшилась до 4–6 мм (среднее значение 5,20 ± 0,37 мм), что соответствует уменьшению на 35%.
При плацентарной недостаточности аллантоамнион, приобретает бледно-серый цвет, становится менее студенистым и истончается до примерно 4 мм. Сосуды аллантоамниона, диаметром 4–6 мм, встречаются редко — 3–7 на 100 см². Общая масса плодной части плаценты составляет около 6 кг. Обширные зоны плаценты (более 10 800 см²), ассоциированные с плацентарной недостаточностью и рождением слабых жеребят, свидетельствуют о серьезных нарушениях. У таких кобыл пупочный канатик укорочен (около 60 см) и утолщен (около 3,6 см), с суженными сосудами и более толстой стенкой вены по сравнению с артериями.
Гистологическое исследование выявляет существенные адаптивные изменения в плодовой части плаценты. Ворсины хориоаллантоиса укорочены, а трофобластический слой истончен. Соединительная ткань характеризуется увеличенным объемом внеклеточного матрикса и деградацией коллагеновых волокон. Наблюдается расширение сосудов и признаки их дисфункции, что приводит к дистрофическим изменениям в клетках трофобласта и уплотнению межклеточного вещества. В норме хориоаллантоис имеет красноватый цвет.
Однако в данном случае он менее насыщен кровью и, соответственно, имеет более бледную окраску. Ворсины на поверхности хориона мелкие, слабо разветвленные и тусклые. Их плотность снижена, в среднем составляя 30 штук на квадратный сантиметр. Фетальная поверхность хориона серая, гладкая и матовая. Сосудистая сеть аллантоамниона имеет древовидный тип ветвления, суженные стенки (до 3,5 мм в диаметре) и меньшее количество сосудов (3–5 на 100 см²), рис. 2. Установлено, что высота терминальных ворсин хориоаллантоиса составила в среднем 2649,53 ± 423,04 мкм, с колебаниями от 2264,55 до 4286,15 мкм. Относительная площадь соединительной ткани хориоаллантоиса плацентомы занимала у кобыл 4156,43 ± 10,04 мкм², а эпителия ворсин хориоаллантоиса фетальной части плаценты — 324,16 ± 0,99 мкм². Количество капилляров составляет 9,25 ± 0,86 на единицу площади хориоаллантоиса (см. табл. 2). Исследование микроскопических срезов тканей (гистопрепаратов) позволило количественно оценить структуру ворсин хориона при преждевременных родах, связанных с плацентарной недостаточностью.

Рисунок 2 - Патоморфологическое исследование плаценты кобылы при преждевременных родах выявило следующие отклонения: а) ворсины хориоаллантоиса подверглись дистрофическим изменениям и некрозу; в) нарушена дифференцировка клеток трофобласта: наблюдается наличие двуядерных клеток на различных стадиях развития, но отсутствуют трехядерные клетки
При детальном изучении клеток трофобласта под микроскопом были замечены клетки, содержащие два ядра (двуядерные клетки или диплокариоциты). Эти клетки находились на разных этапах своего развития и были особенно многочисленны среди цилиндрических клеток, в особенности на вершинах ворсин плодной части плаценты. У кобыл наблюдается образование специфической структуры, которая служит барьером между ворсинами хориона и промежуточной пластиной, направляясь к аллантохориону. Цитоплазма этих симпластов отличалась высокой плотностью и выраженной оксифильной окраской, содержала многочисленные ядра округлой или овальной формы с вариабельной конденсацией хроматина. На фоне всех этих наблюдений отмечается при данном осложнении увеличение количества гигантских клеток Кащенко-Гофбауэра. Они располагались неравномерно, собираясь в группы, и находились в непосредственной близости от поврежденных участков эпителиальной ткани хориона. Продолжается деградация коллагеновых волокон. На финальной стадии беременности в аллантохорионе формируются микроскопические участки пикринофилии, что свидетельствует о молекулярных перестройках в коллагене.
4. Обсуждение
Несмотря на то, что визуальный осмотр плаценты (макроскопическое исследование) может не выявить повреждений , микроскопические изменения, которые могут быть связаны с проблемами у плода (например, смертью, низким весом при рождении, болезнями), обнаруживаются только при более детальном анализе, таком как гистологическое исследование или электронная микроскопия . У кобыл, помимо этих микроскопических изменений, часто наблюдается усиление фиброза эндометрия, что также отражается в плаценте . Во время беременности у кобыл, фиброзная ткань характеризуется избыточным накоплением компонентов внеклеточного матрикса, таких как коллаген, фибронектин и гиалуроновая кислота и разрастаясь в органе, способна нарушать его нормальную работу и структуру . Развитие фиброза обусловлено длительным воспалением, в котором задействованы механизмы как врожденного, так и приобретенного иммунитета .
Активированные фибробласты превращаются в миофибробласты, которые стимулируют образование соединительной ткани, ремоделирование и постепенное разрушение структуры органа . На основании этих данных мы предположили, что у кобыл при преждевременных родах фиброз в плаценте усиливается, а микроциркуляция ухудшается. Это, в свою очередь, может приводить к аборту, и осложнениям в родах (задержке последа), проблемам с репродуктивным здоровьем после родов (метрит, эндометрит) и заболеваниям у жеребят.
5. Заключение
Для кобыл, подверженных плацентарной недостаточности (преждевременные роды), типичны следующие морфологические характеристики:
- стволовые ворсины хориона в среднем имеют длину 370 микрометров, однако размеры могут отличаться, варьируясь от 246,53 до 1131,50 мкм, терминальные имели ширину около 39 мкм;
- плацента густо усеяна мелкими ворсинками, равномерно распределенными и незначительно разветвленными, слой клеток, покрывающий ворсины (трофобласт), в среднем достигал толщины 7 мкм, на каждом квадратном сантиметре поверхности хориона располагалось в среднем 12,5 ворсин;
- толщина хориона уменьшилась до 4–6 мм (среднее значение 5,20 ± 0,37 мм), что соответствует уменьшению на 35%, по сравнению с нормой;
- аллантоамнион, приобретает бледно-серый цвет, становится менее студенистым и истончается до 4 мм;
- сосуды аллантоамниона, диаметром 4-6 мм, встречаются редко — 3–7 на 100 см², общая масса плодной части плаценты составляет около 6 кг;
- цитоплазма симпластов отличалась высокой плотностью и выраженной оксифильной окраской, содержала многочисленные ядра округлой или овальной формы с вариабельной конденсацией хроматина.
